Лечение варикозных вен тазового происхождения у пациенток
17.02.2026 • 103Просмотры записи

Лечение варикозных вен тазового происхождения у пациенток

Промежностные варикозные вены тазового происхождения являются серьезной проблемой, поскольку они характеризуются сложностью анатомии, разнообразием причин и широким спектром симптомов. Несмотря на то, что эти вены редко приводят к непосредственным тазовым нарушениям, пациентки часто испытывают ряд неприятных ощущений в зоне поражения. Наиболее распространенные жалобы включают боли местного характера, чувство дискомфорта, ощущение тяжести, зуд, эпизоды кровотечений и тромбозов. Кроме того, вульварный варикоз может приводить к диспареунии и вульводении.

Цель статьи « Management of Extra-Pelvic Varicose Veins of Pelvic Origin in Female Patients » заключается в предоставлении подробного обзора диагностических и терапевтических подходов к лечению этих патологий. Важным аспектом является выделение необходимости индивидуального подхода к каждому пациенту, основанного на строгом научном подходе и детальном понимании конкретной ситуации.[1].

Диагностика

1.УЗИ вен нижних конечностей с обязательной оценкой мест выхода тазовых вен.

Исследование выполняется стоя, используя линейный ультразвуковой датчик.

1.1. Наиболее частыми местами выхода из полости малого таза являются вульварные участки, выявляемые примерно у 60–70% женщин с признаками варикозного расширения вен тазового дна [2].

Вульварные точки выхода связаны с внутренней половой веной, которая находится в пределах полового канала. Эта вена имеет притоки, такие как глубокие дорсальные вены клитора, вены луковицы преддверия влагалища и промежностные вены.. Исходя из особенностей анатомии, особое внимание уделяется трём основным местам выхода из таза (рис. 1):

тазовый варикоз

Рисунок 1. А — места выхода около клитора справа и слева. B — промежуточная точка выхода в области малых половых губ, расположенная посередине больших половых губ. C — точка выхода вблизи промежности, находящаяся в задней трети больших половых губ.

1.2. Паховая точка выхода является вторым по распространенности дренажным путем, встречающимся примерно у 20–35 % пациентов. Рефлюкс распространяется по венам круглой связки матки, которая проходит вдоль пахового канала. УЗИ должно включать осмотр пахового канала (области над паховой связкой и позади апоневротической части наружной косой мышцы живота). (рис.2)

Лечение варикозных вен тазового происхождения у пациенток

Рисунок 2. (A) Точка сброса выглядит как область с гипоэхогенной губчатой тканью. (B) При ЦДК визуализируется двунаправленный или турбулентный поток, характеризующийся чередованием цветовых сигналов. (С) При импульсно-волновой допплерографии можно наблюдать ретроградный компонент кровотока, сохраняющийся более 7 секунд.

1.3. Ягодичные точки выхода связаны с несостоятельными верхними или нижними ягодичными венами- притоками внутренних подвздошных вен. Нижняя ягодичная точка выхода, расположенная ниже грушевидной мышцы, является причиной примерно 4 % случаев варикозного расширения вен, верхняя ягодичная (выше грушевидной мышцы)-2%. Рефлюкс, возникающий в этих точках выхода, обычно связан с варикозным расширением вен в области ягодиц и/или задней поверхности бедра.

1.4. Обтураторная точка выхода (3%) связана с несостоятельными обтураторными венами, которые являются притоками внутренней подвздошной вены. Эти вены соединяют тазовые вены с венами нижних конечностей в верхней части обтураторного отверстия. Рефлюкс распространяется по венам на медиальной поверхности верхней части бедра.

2. Дуплексное ультразвуковое исследование вен малого таза.

На данный момент остается спорным вопрос о необходимости детальной диагностики тазовых вен у пациентов с внетазовыми варикозными венами тазового происхождения, которые не жалуются на тазовые симптомы.

2.1. Трансвагинальное ультразвуковое исследование.

Оно играет важнейшую роль в исключении альтернативных причин хронической тазовой боли, особенно гинекологических заболеваний, таких как эндометриоз, аденомиоз, кисты яичников и миомы. Наличие расширенных тазовых венозных сплетений и вены шириной более 5 мм, пересекающей тело матки и соединяющей расширенные периматочные венозные сплетения с обеих сторон матки (рис.3), считается высокочувствительным и специфичным признаком заболеваний вен малого таза.[3].

тазовый варикоз

Рисунок 3. (А) Варикозно расширенные вены периматочного венозного сплетения (желтая стрелка), расположенные рядом с маткой и соединенные с веной, проходящей через тело матки (красная стрелка). (B) Рефлюкс (продолжительность: 2 с) в околоматочном венозном сплетении (желтая стрелка) после дистального ручного компрессионного воздействия в ипсилатеральной подвздошной ямке.

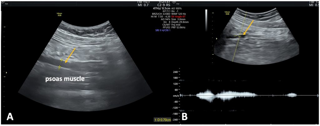
2.2. Трансабдоминальное ультразвуковое исследование.

Позволяет оценить нижнюю полую вену, подвздошные вены, почечные вены, яичниковые вены, а также венозные сплетения малого таза, включая их гемодинамические характеристики.

Наиболее характерным признаком заболеваний вен малого таза является увеличенная яичниковая вена шириной более 6 мм (рис.4А) и обратный каудальный кровоток в яичниковой вене (рис.4B). Прерывистый рефлюкс в яичниковой вене, возникающий при ручном сдавливании ипсилатеральной подвздошной ямки или при выполнении пробы Вальсальвы, указывает на изолированную недостаточность яичниковой вены. Спонтанный рефлюкс с постоянным кровотоком в левой яичниковой вене свидетельствует о патологии, вызванной вневенозными факторами (чаще сдавливанием) или внутривенными причинами (обычно посттромбозом)..

Лечение варикозных вен тазового происхождения у пациенток

Рисунок 4.

2.3. Расширенная диагностика.

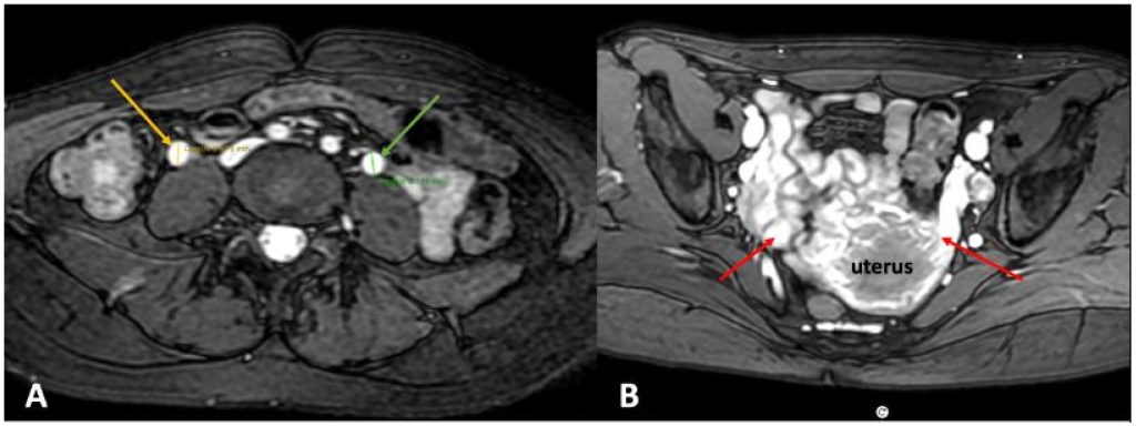
2.3.1. Компьютерная томография (КТ) и магнитно-резонансная венография (МРВ) играют ключевую роль в выявлении расширенных яичниковых вен и тазовых сплетений. Эти методы диагностики помогают обнаружить сопутствующие тромботические окклюзии, коллатеральные отводящие сосуды и другие патологии, вызывающие симптомы..

Лечение варикозных вен тазового происхождения у пациенток

Рисунок 5. (А) Расширенные яичниковые вены: левая 9,1 мм (зеленая стрелка), а правая — 9,9 мм (желтая стрелка). (B) Варикозные вены в периматочном венозном сплетении (красные стрелки).

2.3.2. Катетерная венография и ультразвуковое внутрисосудистое исследование — основные инвазивные методы визуализации. Они рекомендуются пациентам с тромботическими и нетромботическими поражениями подвздошных вен, если планируется эндоваскулярное лечение..

Лечение

«Сверху-снизу»- в первую очередь устранение патологии тазовых вен. Это может включать эмболизацию тазовых вен, устранение компрессии подвздошной или почечной вены или посттромботической обструкции.

«Снизу-вверх» — это метод устранения варикозного расширения вен промежности и вульвы, а также других варикозных вен нижних конечностей тазового происхождения. Он не требует непосредственного воздействия на патологические тазовые вены..

1. Лечение пациенток без тазовых симптомов.

Предлагается использовать локальные процедуры для лечения варикозных вен и связанных с ними тазовых точек выхода этих вен [4].

К ним относят — склеротерапия, хирургическое лигирование и минифлебэктомия. Пенная склеротерапия выполняется под УЗ-контролем. Важно выявить и устранить все «точки выхода» в малом тазу, чтобы минимизировать риск рецидива и обеспечить устойчивые результаты..

Рисунок 6. Результат лечения пациентки с вульварным варикозом через 12 месяцев после склеротерапии  . 

Альтернативным методом лечения является хирургическое лигирование в сочетании с минифлебэктомией. Этот подход особенно эффективен при широких (>1 см) и коротких тазовых варикозных венах.

Ссылаясь на научные данные— в проспективном исследовании, включающем 273 пациентки, хирургическое лигирование дало низкую частоту рецидивов (2,2%) в течение года, с минимальными осложнениями. [7].

Ретроспективное исследование с участием 785 пациентов показало улучшение состояния у 78,7% после склеротерапии при средней продолжительности наблюдения 4,1 ± 1,4 года. [8].

В литературе нет единого подхода к лечению варикозного расширения вен тазового происхождения. Эффективность метода «сверху вниз» еще нужно доказать. В недавних исследованиях после эмболизации и склеротерапии «сверху вниз» у 12–20 % пациенток исчезли экстратазовые варикозы. В другой работе — у 51 % наблюдалось незначительное или умеренное улучшение. Около 80 % пациенток требовалось дополнительное лечение для устранения варикоза вульвы или нижних конечностей [9].

2. Лечение пациенток с тазовой болью.

Наиболее распространенной причиной хронической тазовой боли венозной этиологии является первичная недостаточность тазовых вен, особенно с поражением яичниковых вен. В таких случаях предпочтительным методом лечения является эмболизация тазовых вен [5]. Для эмболизации могут использоваться разные материалы: металлические спирали, сосудистые пробки, склерозанты, желатиновые губки и цианоакрилатный клей.

Данные систематического обзора 14 проспективных исследований показывают, что после вмешательства у 68,3–100% пациентов наблюдалось улучшение состояния, у 0–31,7% не было изменений, а у 0–4,1% состояние ухудшилось. Среди пациентов, у которых первоначально наблюдалось улучшение, у 0–18,2% симптомы вернулись в течение 4–12 месяцев. [6].

тазовый варикоз

Рисунок 7. (А)-несостоятельная яичниковая вена, (В)- несостоятельная правая яичниковая вена, (С)-венография после эмболизации обеих яичниковых вен

При подтвержденном гемодинамически значимом стенозе подвздошной вены стандартным методом лечения остается стентирование.

При сочетании рефлюкса из яичниковой вены и обструкции подвздошной вены вопрос оптимального лечения остается спорным. Некоторые специалисты рекомендуют сначала устранять нарушения оттока из тазовых вен, а рефлюкс из яичниковой вены лечить только при сохранении симптомов. У 76% женщин с варикозом малого таза, вызванным стенозом подвздошной вены, полное исчезновение симптомов наблюдалось после ее стентирования. Однако другое исследование показало, что у 16,6% пациенток симптомы исчезли только после стентирования подвздошной вены, тогда как у 83,4% — после комбинированного стентирования и эмболизации яичниковых вен [10]. Для определения наиболее эффективного метода лечения требуются дополнительные сравнительные исследования.

Выводы

Диагностика варикоза вен малого таза за последние годы значительно улучшилась. Это стало возможным благодаря развитию методов визуализации и совершенствованию инструментальной диагностики. Тем не менее, несмотря на достижения в диагностике, подходы к лечению остаются предметом дискуссий и нуждаются в дальнейшем изучении.

Эффективность существующих методов лечения варикоза вен малого таза варьирует, и нередко применяемые методы оказываются недостаточно успешными. Часто пациенты отмечают рецидив заболевания или сохранение симптоматики.

Так как на амбулаторном приеме флеболога чаще всего выполняется склеротерапия расширенных вульварных вен, необходимо проводить расширенный протокол ультразвукового исследования.  Визуализицая вен этой зоны, вен малого таза самостоятельно или с помощью смежных специалистов поможет избежать рецидивов и добиться максимального результата. На ближайшем  эфире  обсудим как мы можем помочь пациенткам с промежностным варикозом. 

Список литературы.

  1. Jaworucka-Kaczorowska, A.; Roustazadeh, R.; Simka, M.; Jalaie, H. Management of Extra-Pelvic Varicose Veins of Pelvic Origin in Female Patients. J. Clin. Med.202514, 2707. https://doi.org/10.3390/jcm14082707
  2. Jaworucka-Kaczorowska, A.; Simka, M. Anatomical, Pathophysiological, and Clinical Aspects of Extra-Pelvic Varicose Veins of Pelvic Origin. Diagnostics202515, 245
  3. Labropoulos, N.; Jasinski, P.T.; Adrahtas, D.; Gasparis, A.P.; Meissner, M.H. A standardized ultrasound approach to pelvic congestion syndrome. Phlebology201732, 608–619.
  4. De Maeseneer, M.G.; Kakkos, S.K.; Aherne, T.; Baekgaard, N.; Black, S.; Blomgren, L.; Giannoukas, A.; Gohel, M.; de Graaf, R.; Hamel-Desnos, C.; et al. Editor’s Choice—European Society for Vascular Surgery (ESVS) 2022 clinical practice guidelines on the management of chronic venous disease of the lower limbs. Eur. J. Vasc. Endovasc. Surg.202263, 184–267.
  5. Antignani, P.-L.; Lazarashvili, Z.; Monedero, J.L.; Ezpeleta, S.Z.; Whiteley, M.S.; Khilnani, N.M.; Meissner, M.H.; Wittens, C.H.; Kurstjens, R.L.; Belova, L.; et al. Diagnosis and treatment of pelvic congestion syndrome: UIP consensus document. Int. Angiol.201938, 265–283.
  6. Brown, C.L.; Rizr, M.; Alexander, R.; Sharpe, E.E.; Rochon, P.J. Pelvic congestion syndrome: Systematic review of treatment success. Semin. Interv. Radiol.201835, 35–40.
  7. Delfrate, R.; Bricchi, M.; Franceschi, C. Minimally-invasive procedure for pelvic leak points in women. Veins Lymphat.20198
  8. Gianesini, S.; Antignani, P.L.; Tessari, L. Pelvic congestion syndrome: Does one name fit all? Phlebolymphology2016, 23, 142–145
  9. Hartung, O. Embolization is essential in the treatment of leg varicosities due to pelvic venous insufficiency. Phlebology 201530, 81–85.
  10. Gavrilov, S.G.; Vasilyev, A.V.; Krasavin, G.V.; Moskalenko, Y.P.; Mishakina, N.Y. Endovascular interventions in the treatment of pelvic congestion syndrome caused by May-Thurner syndrome. J. Vasc. Surg. Venous Lymphat. Disord. 20208, 1049–1057

Автор статьи

Могунова Екатерина Александровна
Могунова Екатерина Александровна
Сосудистый хирург, флеболог, онколог

Участник проекта "АФ-Обзоры"

  • Ижевск
  • Медицинский центр «Академия здоровья»
Могунова Екатерина Александровна
Сосудистый хирург, флеболог, онколог

  • Ижевск
  • Медицинский центр «Академия здоровья»
0 0 голоса
Рейтинг поста
Подписаться
Уведомить о
guest

0 комментариев
Старые
Новые Популярные
Межтекстовые Отзывы
Посмотреть все комментарии
Содержание статьи
0
Оставьте комментарий! Напишите, что думаете по поводу поста (видео и статья)x