Рефлюкс в сафенных венах является распространенным и хорошо изученным заболеванием. Однако, когда речь заходит о несафенном варикозе, его могут диагностировать неправильно или вовсе признать частью бассейна МПВ или БПВ. Исследования показали, что рефлюкс в несафенных венах может наблюдаться у 9-35% с ХЗВ [1].
Авторы статьи Prevalence and Clinical Implication of Nonsaphenous Vein Reflux with or without Pelvic Venous Disease представили различные варианты несафенного рефлюкса, клиническую картину, а так же методы диагностики и лечения [2].
Распространенность
- 10% у нелеченных пациентов, 20% — с рецидивирующим варикозом [3].
- Чаще всего у женщин с двумя и более беременностями в анамнезе.
- В большинстве случаев сочетается с варикозом малого таза.
Клиническая картина
- Чаще всего проявляется в виде С1-С3
- Если есть связь с сафенными или тазовыми венами, то симптомы будут выраженнее
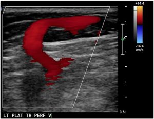
Виды несафенного варикоза

А — Вена вульвы.
- Варикозные вены проходят медиально к СФС и соединяются с венами тазвого дна.
- Страдают до 22–34 % женщин с варикозным расширением вен малого таза, 18–22 % беременных женщин и до 50 % женщин, у которых в анамнезе есть многоплодная беременность [4].
- Только у 20% женщин варикоз может сохраняться после родов.
- Типичные симптомы — тяжесть, боль, пульсация и зуд.
- Рефлюкс крови часто возникает из-за пери- или трансвагинального сплетения, левой яичниковой или внутренней срамной вены при окклюзии подвздошной. Эти вены проходят медиальнее сафено-феморального соединения и могут соединяться с большой подкожной веной. В области вульвы они впадают в глубокую внутреннюю срамную и запирательную вены.
- Еще одна вена — Паховая вена соединяется с передней подкожной или большой подкожной веной, но не с МПВ.
B — Ягодичная вена.
- Варикозные вены обычно расположены сзади, проходят через ягодичную фасцию и соединяются с ягодичными венами.
- Редко могут вызывать симптомы сдавления седалищного нерва.
- Иногда может соединяться с бедренной ветвью МПВ.
C — Вены седалищного и большеберцового нерва. 
- Варикозные вены обычно входят в фасцию выше подколенной ямки и соединяются с венами вокруг седалищного нерва. У женщин после беременности могут соединяться с нижними ягодичными венами.
- Рефлюкс в седалищном или большеберцовом нерве может вызывать боль, отёк и дискомфорт в поражённой ноге из-за раздражения нерва или поверхностного варикоза.
- Вены седалищного нерва не имеют клапанов.
D — Заднебоковая перфорантная вена бедра. 
 
- Варикозные вены проходят от латеральной или заднебоковой поверхности голени к бедру.
- Рефлюкс возникает в заднебоковой перфорантной вене бедра и чаще всего соединяется с глубокой бедренной веной, мышечными венами бедра и редко — с бедренной веной.
E — Портняжная и подпортняжная вена. 
 
- Входит в фасцию в верхней части колена.
- Наряду с атипичными варикозными венами в бедре наблюдается извилистая рефлюксирующая вена, проходящая внутри портняжной мышцы.
- Требуется диффенциальная диагностика с экстратрункулярными мальформациями.
F — Вена подколенной ямки. 
 
- Варикозные вены расположены в задне-медиальной или задне-латеральной части голени, проникают в фасцию в подколенной ямке.
- Может проявляться расширением притоков подколенной ямки или подкожной вены, если они связаны с сафенными венами.
- Может быть принята за МПВ.
G — Атипичные варикозные вены, связанные с редкими перфорантами. 
 
- Может встречаться в любой части нижней конечности.
- Например, рефлюкс в перфорантной вене колена можно выявить через расширение притоков коленного сустава.
- В некоторых случаях, перфорант коленного сустава, связанный с варикозом, может не иметь рефлюкса.
Лечение
Лечение несафенозного рефлюкса индивидуально и зависит от тяжести симптомов. Требуется тщательное планирование и УЗИ-контроль. Из-за извилистости и поверхностного расположения несафенозных вен, методы, такие как РЧА и ЭВЛК, ограничены. Предпочтение отдается пенной склеротерапии и флебэктомии. При тазовых венах без симптомов используется пенная склеротерапия под контролем УЗИ или флебографии (техника «снизу вверх»), а при симптомах или рецидиве — с пеной и спиралями (техника «сверху вниз»).
Заключение
Протяженность рефлюкса в несафеных венах можно выявить, проследив за варикозными венами в разных местах. Эти вены не входят в стандартное дуплексное сканирование, что может привести к неправильному диагнозу и выбору тактики лечения. Повышение осведомленности и углубления понимания рефлюкса в несафенных венах улучшит диагностику и лечение. Это несомненно положительно скажется на результатах лечения варикозной болезни.
В своей практике я довольно часто встречаю несафенный варикоз. И подтверждая статистику, представленную в статье — это все было у женщин. Но признаюсь, я сама редко на узи просматриваю нетипичные зоны варикоза, например, наружную поверхность бедра и голени. Обычно, ориентируюсь на симптомы и внешние проявления. Лечение — чаще всего склеротерапия. В ходе проработки этой статьи, у меня появился вопрос: неоваскулогенез в соустье после флебэктомии можно считать тоже несафенным варикозом? На этот и другие вопросы постараемся найти ответы на ближайшем эфире Что мы знаем о несафенном варикозе?
Литература
- 
Malgor RD, Labropoulos N. Pattern and types of non-saphenous vein reflux. Phlebology 2013;28:51-4.
- Hyangkyoung Kim, M.D., Ph.D.1 and Nicos Labropoulos, Ph.D. Prevalence and Clinical Implication of Nonsaphenous Vein Reflux with or without Pelvic Venous Disease. Ann Phlebology 2023; 21(2): 74-79
- Labropoulos N, Tiongson J, Pryor L, Tassiopoulos AK, Kang SS, Mansour MA, et al. Nonsaphenous superficial vein reflux. J Vasc Surg 2001;34:872-7.
- Fassiadis N. Treatment for pelvic congestion syndrome causing pelvic and vulvar varices. Int Angiol 2006;25:1-3.
 
                                 
 
								 
 
								